
TRACK-HD rivela cambiamenti significativi nei portatori della mutazione HD pre-sintomatici e nei pazienti
Il rapporto annuale dello studio TRACK-HD dimostra una serie di cambiamenti nei portatori pre-sintomatici della mutazione HD

Attenzione: Traduzione automatica – Possibilità di errori
Per diffondere le notizie sulla ricerca in HD e gli aggiornamenti sulle sperimentazioni al maggior numero di persone possibile e nel più breve tempo possibile, questo articolo è stato tradotto automaticamente dall’IA e non è ancora stato revisionato da un redattore umano. Sebbene ci sforziamo di fornire informazioni accurate e accessibili, le traduzioni dell’IA possono contenere errori grammaticali, interpretazioni errate o frasi poco chiare.Per ottenere informazioni più affidabili, consulta la versione originale in inglese o torna a trovarci più tardi per la traduzione completamente revisionata dall’uomo. Se noti problemi significativi o se sei madrelingua di questa lingua e vuoi contribuire a migliorare le traduzioni, non esitare a contattarci su editors@hdbuzz.net.
TRACK-HD, uno studio osservazionale su persone portatrici della mutazione HD, ha pubblicato dati che descrivono i cambiamenti nel corso del primo anno dello studio. Questi dati mostrano che è possibile osservare in modo affidabile una serie di cambiamenti in un singolo anno di osservazione dei pazienti HD, che potrebbero essere utilizzati per aiutare a pianificare gli studi sui farmaci. In particolare, la diagnostica per immagini del cervello è stata in grado di vedere chiaramente i cambiamenti causati dalla mutazione HD.
Sperimentazioni farmacologiche ed endpoint
Tutte le persone affette da HD sperano in sperimentazioni farmacologiche di successo che portino alla scoperta di trattamenti efficaci per l’HD. Scoprire farmaci efficaci è difficile, ma anche il processo di sperimentazione è complesso. Una delle difficoltà per le sperimentazioni sull’HD è sapere cosa misurare per decidere se il farmaco ha funzionato o meno. È facile immaginare che un farmaco per il cancro possa essere testato misurando le dimensioni dei tumori nei pazienti che assumono il farmaco, rispetto a quelli che non lo fanno. Le dimensioni del tumore, in questo esempio, sono ciò che chiamiamo l’endpoint della sperimentazione, perché è ciò che viene effettivamente misurato. Le sperimentazioni farmacologiche hanno successo o falliscono in base a queste misurazioni dell’endpoint.

Testare i farmaci per l’HD è un po’ più complesso dell’esempio del cancro. Ci sono movimenti tipici (corea) che sono associati alla malattia, ma non si verificano fino a quando non si sono verificati danni significativi al cervello. Inoltre, poiché possiamo identificare le persone che svilupperanno l’HD prima che abbiano sintomi esaminando il loro DNA, vogliamo davvero trattare le persone con farmaci che ritardino l’insorgenza dell’HD mentre le persone stanno ancora bene, piuttosto che aspettare che si verifichino i sintomi motori. Quindi dobbiamo identificare quali cambiamenti si verificano precocemente e decidere quali di essi sono abbastanza sensibili da essere utilizzati come endpoint nelle sperimentazioni terapeutiche.
TRACK-HD
Lo studio TRACK-HD, con siti in Canada, Francia, Paesi Bassi e Regno Unito, mira a rispondere a questa domanda. I partecipanti effettuano una singola visita ogni anno per tre anni. La prima visita, o ‘basale’, per ogni paziente è avvenuta tra gennaio e agosto 2008. Le prime visite di follow-up sono state tra gennaio e agosto 2009. Questo studio è simile allo studio PREDICT-HD, ma è progettato più come una sperimentazione farmacologica. Ciò significa che è progettato per essere più breve (3 anni) e cercare solo i sintomi che cambiano in questo periodo. Poiché le sperimentazioni farmacologiche sono molto costose da realizzare, è probabile che abbiano una breve durata e, per certi versi, TRACK-HD è come una ‘prova generale’ per questi studi successivi.
I risultati delle prime due valutazioni sono stati appena pubblicati sulla rivista The Lancet Neurology.
Differenze al basale e necessità di dati longitudinali
La visita al basale per TRACK-HD è stata condotta per cercare differenze tra le persone portatrici della mutazione HD in diverse fasi e tra quelle con la mutazione e i soggetti di controllo senza di essa. Gli studi hanno già dimostrato cambiamenti come questo, quindi è stato importante per lo studio TRACK-HD misurare questi effetti in modo più dettagliato. Inoltre, poiché l’HD impiega molti anni o decenni per svilupparsi, le differenze osservate nei pazienti HD possono sembrare grandi al basale, ma in realtà sono dovute a cambiamenti molto lenti che avvengono in un lungo periodo di tempo. Questi tipi di differenze sarebbero endpoint negativi per una sperimentazione farmacologica, perché il cambiamento negli anni successivi sarà molto piccolo e difficile da misurare. I dati al basale di TRACK-HD sono stati pubblicati nel 2009 e hanno mostrato una serie di importanti differenze nei portatori della mutazione HD e nei pazienti.

Categorie di studio: imaging cerebrale, cognitivo, motorio e psichiatrico
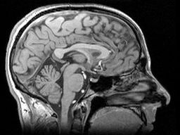
Cosa sono questi ‘cambiamenti’? Lo studio TRACK-HD sta conducendo un gran numero di misurazioni su ogni soggetto. La risonanza magnetica (MRI) cattura un’immagine tridimensionale dettagliata del cervello di ogni soggetto. I sintomi motori (movimento) vengono misurati in diversi modi, tra cui il tracciamento oculare ad alta tecnologia e altri strumenti sofisticati. Una serie di test sono progettati per testare la funzione intellettuale (o ‘cognitiva’) dei soggetti e il loro benessere emotivo. Infine, ci sono una serie di scale di valutazione che sono state utilizzate dai medici per valutare i segni dell’HD, e anche queste sono state misurate, consentendo agli scienziati di TRACK-HD di confrontare le loro informazioni con studi più vecchi. Si tratta di molti test e i partecipanti a TRACK-HD dovrebbero essere congratulati per il loro contributo all’intera comunità HD.
Misure più sensibili
Avere i dati al basale per ogni soggetto ha permesso agli scienziati di TRACK-HD di esaminare il cambiamento di ogni misurazione nel corso del primo anno. Delle dozzine di misurazioni effettuate, quelle derivate dall’imaging cerebrale sono state le più sensibili. Analizzare i cambiamenti in centinaia di immagini tridimensionali è difficile, quindi gli scienziati di TRACK-HD hanno utilizzato tre tecniche completamente distinte per assicurarsi che i cambiamenti osservati non fossero dovuti a problemi tecnici. Le risposte che hanno ricevuto da ogni tecnica concordavano molto bene tra loro, dandoci la certezza che stiano misurando cambiamenti reali nel cervello.
Il volume dell’intero cervello diminuisce più velocemente nelle persone portatrici della mutazione HD, anche se si restringe anche nel corso di un anno nelle persone senza la mutazione HD. Regioni specifiche del cervello che sono note per essere molto sensibili all’HD, chiamate caudato e putamen, sono degenerate ancora più velocemente nelle persone portatrici della mutazione HD. Lo studio ha anche riscontrato perdite precoci della materia bianca del cervello, che è una cosa importante perché è il ‘cablaggio’ del cervello.
Alcuni test della funzione intellettuale sono risultati peggiori nei portatori della mutazione HD, in particolare un test di tracciamento del cerchio. Questo semplice compito richiedeva ai soggetti di tracciare accuratamente un cerchio su uno schermo del computer, il che richiede un buon controllo fine dei movimenti. Le prestazioni in questo compito sono degenerate in quasi tutti i gruppi di persone portatrici della mutazione HD, comprese le persone a qualche anno dalla prevista insorgenza dei sintomi. Un certo numero di altri test di funzione cognitiva utilizzati nelle sperimentazioni sull’HD non sono cambiati abbastanza nel corso di un anno per essere utili in una sperimentazione farmacologica a breve termine nei portatori pre-sintomatici della mutazione HD.

Image credit: Life Science Databases
Comportamenti emotivi difficili, tra cui irritabilità e apatia, si sono verificati più frequentemente nei portatori della mutazione HD alla visita al basale. Ma, secondo lo studio di follow-up, questi sintomi non sono cambiati molto in un anno. Questi tipi di misurazioni potrebbero non essere una buona base per una sperimentazione farmacologica a breve termine. Questo è interessante, perché implica che alcuni sintomi dell’HD, come l’irritabilità e l’apatia, si sviluppano molto lentamente, mentre altri cambiamenti potrebbero essere più improvvisi.
Analisi della potenza e futuro
Delle dozzine di misurazioni per ogni paziente TRACK-HD, la perdita di tessuto nella regione del caudato del cervello è stato il cambiamento più chiaro osservato. Questa perdita di tessuto è stata costantemente più alta in ogni gruppo di portatori della mutazione HD osservati, anche quelli anni prima dei previsti sintomi motori dell’HD. Queste informazioni consentono agli scienziati che conducono questo studio di suggerire che la misurazione del volume di questa regione del cervello potrebbe essere un buon endpoint per una sperimentazione farmacologica nell’HD.
Come sarebbe una sperimentazione che utilizza queste informazioni? Quante persone dovrebbero partecipare per garantire che la sperimentazione fornisca informazioni conclusive? Utilizzando i cambiamenti osservati, gli scienziati di TRACK-HD possono calcolare quanto grande dovrebbe essere uno studio, al fine di fornire informazioni conclusive. Per fare questo, dobbiamo stimare quanto sarebbe efficace il nostro farmaco. Se il farmaco rallentasse la perdita di volume del caudato del 20%, avremmo bisogno di 354 pazienti per assumere il farmaco e 354 pazienti per assumere un placebo, o sostanza di controllo. Questo numero di pazienti ci fornisce informazioni sufficienti per determinare se il farmaco ha funzionato. Un farmaco più potente che impedisse il 40% del restringimento del caudato richiederebbe solo 89 pazienti per assumere il farmaco e 89 pazienti per assumere il placebo.
Questa è una notizia incoraggiante, perché la comunità HD ha dimostrato di poter riempire le sperimentazioni farmacologiche con questo tipo di numeri. Ad esempio, una sperimentazione in corso del coenzima Q10 ha 608 partecipanti e CREST-E sta testando la creatina in 650 persone. TRACK-HD fornisce la speranza che, se riusciamo a trovare il farmaco giusto, saremo in grado di testarlo con successo.
Per saperne di più
- Articolo nel Brain Research Bulletin che descrive come i cambiamenti nella risonanza magnetica potrebbero essere utili per prevedere quando una persona svilupperà i sintomi dell’HD (l’articolo completo richiede il pagamento o l’abbonamento)
- Articolo di Nature Medicine di Chen (2000) sulla minociclina che protegge i topi HD dai danni (l’articolo completo richiede il pagamento o l’abbonamento)
- Articolo di Stack (2006) sul trattamento con minociclina nei topi HD (l’articolo completo richiede il pagamento o l’abbonamento)
- PREDICT-HD, un altro ampio studio sui biomarcatori in corso nell’HD
Fonti e Riferimenti
Per maggiori informazioni sulla nostra politica di divulgazione, consulta le nostre FAQ…


